Лечение болезни кошачьей царапины
Терапия в типичной форме проводится амбулаторно. Инфекция относится к разряду самокупирующихся (может пройти без лечения), однако медикаментозно можно помочь организму быстрее справляться с возбудителем и смягчить симптомы болезни.
Медикаментозное лечение:
- Нестероидные противовоспалительные средства для купирования воспалительной реакции (ибупрофен, индометацин, диклофенак и их современные аналоги).
- Антигистаминные препараты (кларитин, зиртек, цетрин, эриус и прочие).
- Этиотропная терапия включает в себя назначение антибактериальных препаратов: азитромицин, доксициклин и его производные, эритромицин и его производные, также установлена эффективность при фелинозе ципрофлоксацина, рифампицина, бактрима, гентамицина. Считается, что такую терапию следует назначать только при тяжелых формах инфекции с развитием нетипичных форм, а также при возникновении фелиноза у иммуноскомпроментированных лиц (ВИЧ-инфекция, хронические заболевания, реципиенты трансплантантов органов и тканей и другие).
При возникновении абсцессов в области лимфоузлов требуется хирургическая помощь (вскрытие, освобождение от гноя), что влияет на длительность заживления и склерозирования.
Эпидемиология фелиноза
Источник возбудителя для человека — кошки, чаще котята. Кошки легко заражаются B. henselae посредством укусов блохами Cfenocephalides felis. В организме кошки B. henselae сохраняется более года, не вызывая нарушений здоровья, входит в состав нормальной микрофлоры кошачьей полости рта. У кошек возможна бессимптомная бактериемия длительностью до 17 мес (срок наблюдения), которая прекращается после курса антибиотикотерапии. Заражение человека происходит во время тесного контакта с кошкой (укус, царапание, лизание) при повреждении кожи или конъюнктивы глаза.
Блохи могут нападать и на человека, осуществляя трансмиссивную передачу болезни. Приблизительно у 90% заболевших в анамнезе есть указания на контакт с кошками, также описаны контакты с белками, собаками, козами, уколы клешнями крабов, колючей проволокой. Восприимчивость низкая.
Обычно заболевают дети и лица моложе 20 лет, чаще осенью и зимой. Иногда возникают семейные вспышки. Больные не представляют опасности для окружающих. После перенесённого заболевания развивается стойкий иммунитет, но описаны рецидивы болезни у взрослых.
Лимфаденопатия на УЗИ
Лимфаденопатия — это увеличение размеров, а также изменение формы одного или группы лимфатических узлов. Это симптом самых разных вирусных и бактериальных инфекций, но также могут быть признаком злокачественного процесса.
Вступая в борьбу с инфекцией лимфоузлы воспаляются. Воспалённые лимфоузлы стремительно «растут» в начале болезни и быстро «сдуваются» при выздоровлении. На УЗИ лимфоузел увеличен за счет корковой и околокорковой зоны, гипоэхогенный по периферии и гиперэхогенный в центре, форма овальная, контур четкий, кровоток только в воротах или отсутствует. Если воспаление переходит в окружающую клетчатку (периаденит), то может сформироваться абсцесс.
Рисунок. У детей с ОРВИ на УЗИ увеличенные шейные лимфоузлы с сохранной архитектурой — овальной формы, контур четкий и ровный, гипоэхогенные по периферии с гиперэхогенным центром. Заключение: Лимфаденопатия шейных лимфоузлов.

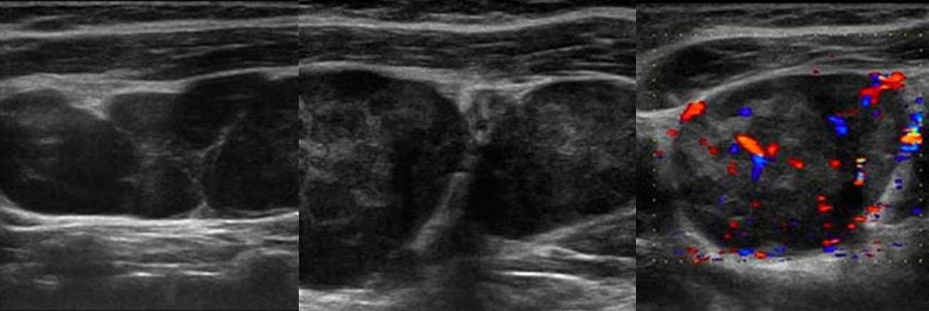
Рисунок. Мальчик 6-ти месяцев с выраженным дерматитом. На УЗИ шейные (1) и подчелюстные (2) лимфоузлы увеличены, вытянутой формы, гипоэхогенные по периферии с гиперэхогенной линейной структурой в центре
Обратите внимание подчелюстной лимфоузел с волнистым контуром. Заключение: Лимфаденопатия шейных и подчелюстных лимфоузлов

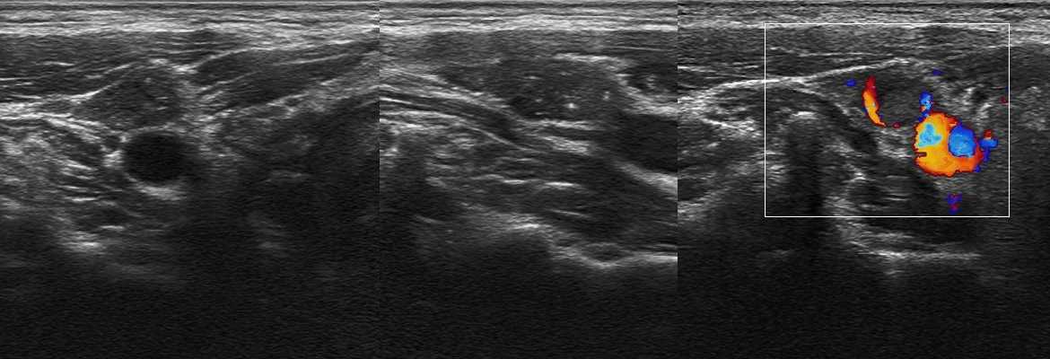
Рисунок. На УЗИ лимфоузлы увеличены, овальной формы, четкий и ровный контур, эхогенность пониженная, корковая зона несколько расширена, центральный рубчик видно отчетливо; кровоток в воротах усилен, сосуды расположены правильно — расходятся радиально, подкапсульный кровоток не определяется. Заключение: Лимфаденопатия с признаками высокой степени активности.

Рисунок. Ребенок с высокой температурой, ангиной и двусторонней «опухолью» на шее, в общем анализе крови атипичные мононуклеары 25%. На УЗИ передне- и заднешейные лимфоузлы увеличены (максимальный размер 30х15 мм), округлой формы, неоднородные
Обратите внимание, центральный рубчик отлично видно, а кровоток на уровне ворот усилен. Заключение: Лимфаденопатия с признаками высокой степени активности
Большие группы увеличенных лимфоузлов на шее характерны для инфекционного мононуклеоза. Учитывая течение болезни и наличие атипичных мононуклеаров, вероятно, у ребенка инфекционный мононуклеоз.
Рисунок. Женщина жалуется на «опухоль» в подмышке и на локте. Неделю назад повздорила с соседской кошкой. На УЗИ подмышечный (сверху) и локтевые (снизу) лимфоузлы увеличены, округлой формы, выраженная гиперплазия корковой и околокорковой зоны, гиперэхогенный центральный рубчик сохранен; кровоток заметно усилен, сосуды расположены правильно — радиально. Заключение: Лимфаденопатия с признаками высокой степени активности. При болезни кошачьей царапины на месте укуса или царапины образуются небольшие гнойнички и одновременно воспаляются близкие лимфоузлы. Один или группа лимфоузлов увеличиваются в размерах до 5-10 см, становятся болезненными, уплотняются. Через 2-4 недели происходит самоизлечение. Иногда образуются абсцессы и свищи.

Туберкулез лимфоузлов на УЗИ
Туберкулез чаще поражает лимфоузлы шеи, подмышечной и паховой области. Обычно туберкулезный лимфаденит развивается медленно, лимфоузлы безболезненные, средний размер 3 см, но иногда могут достигать 10 см. На УЗИ пораженные лимфоузлы увеличены, гипоэхогенные, с нечетким контуром, часто можно увидеть выраженный периаденит и спаянные пакеты лимфоузлов. Для туберкулезного лимфаденита характерна неоднородная эхоструктура — анэхогенные кистозные полости и кальцинаты. При прогрессировании заболевания может образоваться абсцесс и свищи.
Рисунок. На УЗИ на шее определяется группа увеличенных лимфоузлов, неправильной формы; эхогенность понижена, центральный рубчик отсутствует; неоднородные за счет анэхогенных аваскулярных зон — очаги некроза; кровоток усилен, ход сосудов неправильный, выраженный подкапсульный кровоток. Заключение по результатам биопсии: Туберкулез лимфоузлов.

Рисунок. На УЗИ увеличенные лимфоузлы, неправильной формы с размытыми границами; эхогенность пониженная, центральный рубчик отсутствует; неоднородные за счет мелких кистозных полостей и гиперэхогенных включений с акустической тенью позади (кальцинаты). Заключение по результатам биопсии: Поражение лимфоузлов атипичными микобактериями. Гистологически очаги инфекции М. tuberculosis и атипичных микобактерий часто неразличимы. Классическим морфологическим проявлением в обоих случаях служит гранулема с казеозным некрозом.

Классификация лимфолейкозов
По течению и интенсивности проявления заболевания лимфолейкозы разделяют на:
- острые;
- хронические.
Хронический лимфолейкоз различают по следующим клиническим формам:
- доброкачественной – медленнотекущей, характеризующейся постепенным (чаще – многолетним) развитием заболевания, с прогнозом продолжительности жизни больных до 40 лет;
- прогрессирующей – характеризующейся быстрым развитием заболевания и осложнений, с прогнозом продолжительности жизни до 8 лет;
- опухолевой – характеризующейся стремительным увеличением лимфоузлов;
- спленомегалической – характеризующейся значительным увеличением селезенки;
- костномозговой – характеризующейся распространением в костном мозге;
- осложненной цитолизом – характеризующейся интоксикацией организма вследствие гибели значительного количества опухолевых клеток;
- осложненной парапротеинемией – характеризующейся аномальным выделением белков опухолевыми клетками;
- волосатоклеточного лейкоза – характеризующейся наличием выростов на опухолевых клетках;
- T-форме – характеризующейся поражением кожи.
Также хронический лимфолейкоз разделяют по фазам:
- A – начальная – с незначительными изменениями, снижением уровня гемоглобина, с увеличением до 2 групп лимфоузлов;
- B – развернутая – с основными симптомами, увеличением более 3 групп лимфоузлов;
- C – терминальная – с развитием анемии или тромбоцитопении, осложнений и второй опухоли.
Причины и симптомы лимфаденита у кошек
Факторы, провоцирующие изменение лимфоузлов в размерах и развитие воспалений в них, могут быть самыми разнообразными. Спровоцировать лимфаденит у кошек способны серьезные заболевания, поражающие органы, располагающиеся рядом с лимфоузлами или же саму лимфатическую систему.
Причинами развития лимфаденита становятся острые респираторные вирусные инфекции, инфекционные поражения грибкового или бактериального происхождения, вирус иммунодефицита у кошек, паразитарные поражения органов (в основном пищеварительной системы).
Нередко снижение иммунного ответа наблюдается при аутоиммунных патологиях, любых заболеваниях в острой стадии, лимфомах и злокачественных новообразованиях, дающих метастазы в лимфатическую систему, откуда проникают в системный кровоток и разносятся по организму.
Диагноз лимфаденит способен поставить только ветеринарный специалист после тщательного осмотра и проведенных лабораторных исследований. В некоторых случаях, проводятся дополнительные диагностические мероприятия, позволяющие определить фактор, спровоцировавший воспаление в регионарных и других крупных лимфоузлах.
Опасность патологии заключается в том, что патоген, находящийся в лимфатической системе и несвоевременно обезвреженный, может проникнуть в любую часть организма. Помимо этого, если воспален один узел, возникает патологический процесс и в рядом расположенных тканях. В связи с этим становиться сложно выявить основополагающий фактор, вызвавший лимфаденит.
Лимфаденит развивается у кошек и котов, имеющих проблемы с иммунным статусом, часто подвергающимся аллергическим реакциям. Воспалительные процессы способны развиваться в организме кошки, имеющей ряд хронических заболеваний, а также у животных с проблемами в эндокринной системе.
Различают несколько видом лимфаденита. Они подразделяются по месту расположения лимфоузлов. Выделяют поверхностный и глубокий лимфадениты, а также подбородочный, подчелюстной, паховый, подмышечный и заушный. Путь проникновения патогена в организм и распространение его по тканям может быть различным. Спровоцировать лимфаденит могут острые респираторные инфекции и сепсис.
Характер протекания патологии также бывает острым или хроническим, в свою очередь хронический подразделяется на гнойный и гиперпластичный.
Гнойный вид заболевания характеризуется повышением температурных показателей тела, резким изменением кожных покровов вокруг воспаленных лимфоузлов. Отмечается вялость и апатия у питомца.
В нормальном состоянии, лимфатические узлы, расположенные на поверхности, не прощупываются. Порой они могут прощупываться в виде специфических шариков под кожным покровом. Факторы, провоцирующие развитие лимфаденита, обуславливают развитие симптоматики. Характерными признаками лимфаденита являются:
- изменение размеров лимфоузлов;
- гиперемия кожного покрова в месте повреждения;
- болезненные ощущения у питомца в момент, когда владелец дотрагивается до лимфатического узла;
- слияние воспаленных тканей с лимфоузлами в большой очаг;
- повышение температурных показателей тела;
- признаки интоксикации;
- сильная слабость;
- отказ от корма.
При лимфадените, вызванном вторичной инфекцией, возникают только частичные признаки воспаления. Если же лимфаденит хронического типа, развивается симптоматика в полном объеме. На начальных этапах развития лимфаденита лечение максимально эффективное, в более поздних случаях диагностирования воспалений лимфатических узлов, терапия длительная и сложная.
Хроническая форма туберкулеза провоцируется туберкулезной палочкой или другими патогенами. Грибковые и бактериальные микроорганизмы вызывают острую форму лимфаденита, который в дальнейшем может вызвать осложнения, например образование тромбозов. В случае, когда воспаление в области лимфатических узлов вызвано снижением резистентности, особой проблемы в лечение не возникает. При лимфадените, возникшем на фоне злокачественных новообразований, клиническая картина видоизменяется. Наблюдаются следующие признаки у кошки:
- резкое увеличение в размерах регионарных лимфоузлов;
- поражение лимфоузлов опухолью, провоцирует появление бугристости на поверхности лимфатического узла.
Особых болезненных ощущений у животного на начальных этапах развития новообразований нет, поэтому своевременное обращение к врачу, как правило, затягивается. Увеличение лимфоузлов, расположенных в области паха или подмышек, провоцирует появление хромоты у кошки. Хозяин кошки должен своевременно заметить изменения и обратиться за помощью в ветеринарную клинику.
Характер протекания и причини возникновения защитной реакции
Лимфаденопатия – расширенный термин, характеризующийся воспалением нескольких параллельно расположенных лимфатических узлов по определенным причинам.
Ученые и опытные ветеринары выделяют следующие:
- Лимфаденит – отличительная особенность – наличие воспалительного процесса соответствует месторасположению пораженного узла. Буйство недуга сопровождается повышенной температурой и «стандартным набором» воспалительных процессов.
- Онкологические заболевания – увеличение специальных образований не является достаточным признаком развития злокачественных новообразований. Дать объективную информацию может только биопсия (изъятие небольшого кусочка для тщательного изучения).
Вашему вниманию распространенная симптоматика, указывающая на обыденное увеличение природного сита:
- природные образования мягкие на ощупь (во время проверочных мероприятий);
- несимметричный рост параллельно расположенных узлов;
- место воспалительного процесса сопровождается потерей подвижности или болями в районе очага поражения;
- при стандартном питьевом режиме наблюдается уменьшение аппетита, малоподвижность и слабость организма у кошки.
Хозяину стоит подозревать развитие онкологического заболевания, если:
- стремительное увеличение одного из лимфоузлов;
- поверхность природного образования неравномерная (бугристая);
- отсутствие симптомов воспалительного процесса, кот не меняет распорядок дня и часы физической активности. Животное не замечает новообразования и ведет себя, как обычно.

shutterstock
Причины и лечение воспаления лимфоузлов у кошек
Осталось только владельцу объяснить кошке что ндо лечиться….а это труднее
ХозяйкаЮкоса
23.02.2010, 21:38
Маш, ну не знаю, насчет «маленькой» полости.. Мне кажется это не имеет значения.. Если есть полость — может быть и дренаж.. Ладно, надеюсь врачи как всегда все разрулят..
Мария Ефимова
23.02.2010, 21:45
Просто тут мне кажется фишка в том, что если это ЖИРОВИК (там тоже при вскрытии нечто похожее на гной по «вкусу,цвету и запаху»), то надо было вынуть и зашить….И не надо было ничего обрабатывать…ну кроме шва максимум. А если это гной, то откуда он там? в неповрежденной ткани? И фото нет, в каком месте абцесс (простите, нарыв)? Может это воспаление чего-то (кости например, или тот же флюс (в простонародии), как проявление воспаления надкостницы (ну под корнем зуба
Лечение
Серозные виды патологического процесса устраняются консервативно.
Для лечения лимфаденита назначаются антибиотики (какие, зависит от типа возбудителя), иммуностимуляторы, средства на основе интерферона человека. Все то, что позволяет бороться с возбудителем, повышает интенсивность работы защитных сил организма.
Показан полный покой, иммобилизация пораженной области.
Гнойный лимфаденит требует сочетания консервативного и оперативного методов.
- Суть хирургического лечения заключается во вскрытии узла и санировании (очистке) региона.
- Если область поражения распространенная или источник залегает слишком глубоко, ставят специальную дренажную трубку. Она отводит гной. Через несколько дней ее можно снимать. Рану окончательно ушивают.
- Дальнейшее лечение воспаления лимфоузлов предполагает прием антибиотиков, противовоспалительных, иммуностимуляторов, чтобы устранить остаточные явления септического процесса и предотвратить ранний рецидив.
Хронические формы патологии трудно поддаются коррекции. Степень воспаления не столь велика, чтобы применять средства «тяжелой артиллерии». Достаточно противовоспалительных в качестве симптоматической меры.
Что же касается этиотропного лечения, нужно убирать первопричину. То есть, венерические инфекции, прочие септические очаги, удалять опухоли и пр.
Терапией занимаются хирурги общей практики, специалисты по сосудам, инфекционисты.
Классификация лимфаденита
Классификацию лимфаденита проводят, ориентируясь на сочетание самых различных факторов, определяющих характер, форму и течение заболевания. Так, лимфаденит может быть:
(в зависимости от вида возбудителя)
- специфическим (вызывается возбудителями туберкулеза, сифилиса, чумы, а также грибами- актиномицетами и кандидами);
- неспецифическим (вызывается стафилококками, стрептококками и другими гноеродными микробами);
(в зависимости от длительности течения)
- острым;
- хроническим;
(в зависимости от характера течения)
- серозным (негнойным);
- гнойным;
(в зависимости от количества воспаленных лимфоузлов)
- одиночным;
- множественным.
Причины воспаления лимфоузлов лица
Лицевые лимфоузлы выполняют роль «охранников» организма в целом. И они чутко реагируют на вторжение любой инфекции или начало воспалительного процесса в теле человека.
Воспаление лимфоузлов на лице может стать следствием таких неприятностей, как:
Инфекционное заболевание (простуда, грипп, ринит, гайморит, ангина) Туберкулез Стоматологические проблемы (пародонтоз, кариес) Снижение иммунитета Кожные заболевания на лице Аллергия Отит Пародонтит
Воспаление лимфатических узлов на лице чаще случается в результате переохлаждения человека.
Лимфаденит лицевого узла
Воспаление лимфатических узлов на лице сигнализирует, что в организме человека присутствует инфекция и эритроциты «кинулись в бой». И стоит не только лечить лимфоузлы на лице, но провести полную диагностику состояния здоровья для обнаружения основной проблемы.
Главной причиной лимфаденита лицевых узлов являются кожные заболевания: угри, акне.
Расположение лимфатических узлов
Лимфаденит околоушных и заушных узлов
Уплотнение лимфатических узлов на лице возле ушей – это спутник воспалительных процессов, которые происходят в ухе или слюнной железе, или заболеваний горла.
У детей наблюдается уплотнение околоушных и заушных узлов на лице при краснухе, ветряной оспе. Нередки такие аллергические проявления на вакцинацию. Для более точного постановления диагноза стоит обратиться к хирургу.
Увеличение узлов в нижней части лица
Лимфатические узлы в нижней части лица могут воспалиться по разным причинам:
Стоматологические проблемы (воспаление десен, кариес) Сиалоаденит
При этих заболеваниях происходит интенсивный вывод продуктов распада эритроцитов из участков воспаления. Лимфатические узлы в нижней части тела не успевают фильтровать лимфу. Это становится причиной застоя в узле и, как следствие, его воспаления.
Лимфадениты лицевой области симптомы
Воспаление лимфатических узлов на лице происходит при длительном застое лимфы в самом узле. Основные симптомы:
Уплотнения кожи в данном участке Покраснение и зуд Болезненные ощущения при надавливании Повышенная температура тела
Нередки случаи гнойного воспаления лимфоузлов на лице. При таком осложнении в самом узле происходит накопления гноя. Окончательное выздоровления больного происходит после извлечения гнойных накоплений. Он может прорвать сам или удалить с помощью незначительного хирургического вмешательства.
Запомните! Воспалительные процессы лимфоузлов на лице – это не совсем невинная болезнь. Она может привести к серьезным осложнениям:
Менингит Энцефалит
Категорически запрещено занимается самостоятельным лечением воспаления лимфоузлов на лице.
Причины и симптомы воспаления лимфоузлов
Кровоточивость десен, неприятный запах изо рта, затрудненное дыхание, трудности с глотанием, сигнализирующие о наличии опухоли во рту или в носовой полости;
— воспаленные лимфоузлы, которые могут быть признаком лимфомы;
Потеря аппетита и веса;
Незаживающие язвы и пигментные пятна на коже могут являться признаком рака кожи;
Кровотечения любого органа;
Образования в области молочных желез;
Апатия и снижение активности.
Особенности заболевания
- Лимфаденит: особенность болезни в том, что она предполагает попадание в тело кошки различных вирусов и бактерий, провоцирующих то, что его лимфатические узлы увеличиваются в размерах.
- Раковые заболевания: злокачественные опухоли, возникшие в организме питомца, способны давать метастазы, которые вызывают воспаление лимфоузлов у кошки. В первую очередь, это касается того лимфоузла, чье местоположение находиться ближе всего к пораженному онкологией участку тела.
Симптоматика болезни
Если воспалительные очаги находятся в подмышечных или паховых лимфатических узлах, то питомец начинает хромать. Внимательный владелец может обнаружить наличие проблем со здоровьем у кошки путем обыкновенного прощупывания ее тела. В случае обнаружения тревожных симптомов домашнее животное нужно тут же везти на прием к ветеринару.
Диагностика заболевания
- Подчелюстные узлы: дислоцированы и хорошо прощупываются под нижней челюстью у кошки.
- Паховые: локализованы под тонким жировым слоем на внутренней стороне бедра. Проведение их пальпации существенно облегчит схема, по которой их обнаружение осуществляют через нахождение молочных желез кота и постепенному, плавному передвижению от них, по наклонной линии, к хвосту или задним конечностям кошки.
- Подколенные: расположены под задними лапками животного, прощупываются с обратной стороны колена.
- Подмышечные: искать их нужно подмышками передних конечностей, обычно они чуть сдвинуты в сторону головы.
- Локтевые узлы: дислоцированы непосредственно возле плеч передних лап.
Лечение болезни
Врач с помощью биохимического анализа крови попытается определить актуальную причину воспаления и уже тогда назначит правильную медикаментозную терапию. Она проводится комплексно, включая в себя антибиотические и противогрибковые препараты, а также витамины, для поддержания защитных систем организма.
Следует сразу сказать, что риск фатального исхода очень велик, около 85%. При этом ни один специалист не даст 100% гарантии на то, что после проведения всех фаз лечения не возникнет рецидив. Если новообразование дало метастазы по всему телу кошки, то рекомендуется эвтаназия, дабы не продлевать муки питомца.
- О сайте
- Карта сайта
- Контакты
Копирование материалов разрешено только с указанием активной ссылки на первоисточник.
При соблюдении этих простых правил пребывание кота в доме не доставит особых хлопот. Животное почувствует себя полноправным членом семьи и отблагодарит хозяев своей лаской и любовью.
как определить наличие глистов
При диагностике важно понять, что это такое – просто воспалившийся лимфатический узел, опухоль доброкачественной или злокачественной этиологии? Опытный специалист сразу подумает именно об этом, так как можно очень долго «лечить» лимфаденит, который по факту является раковой опухолью (хотя лейкоз является тем и другим). Вы должны будете следовать рекомендациям своего ветеринара для того, чтобы ваш питомец полностью выздоровел
Очень важно регулярно приводить кота на осмотр, так как только ветеринар сможет увидеть улучшение или ухудшение процесса. Учтите, что некоторые разновидности болезней, которые вызывают острый гнойный лимфаденит, опасны не только для животных, но и для человека (бруцеллез, к примеру). Так что не тяните с посещением клиники!
Вы должны будете следовать рекомендациям своего ветеринара для того, чтобы ваш питомец полностью выздоровел
Очень важно регулярно приводить кота на осмотр, так как только ветеринар сможет увидеть улучшение или ухудшение процесса. Учтите, что некоторые разновидности болезней, которые вызывают острый гнойный лимфаденит, опасны не только для животных, но и для человека (бруцеллез, к примеру)
Так что не тяните с посещением клиники!
Симптомы болезни кошачьих царапин
Первичный очаг (инокуляция) — наблюдается в 90% случаев и возникает на месте зажившей царапины. В основном располагается на кистях и предплечьях, реже на лице, туловище и ногах. Вначале отмечается эритематозное пятно, которое существует совсем недолго и трансформируется в плоскую папулу синюшно-красного или телесного цвета с чёткими неровными границами. Размером возникшая папула может быть от нескольких мм до 1-2 см в диаметре. Иногда несколько папул расположены линейно по ходу царапины. В некоторых случаях в основании папулы имеется болезненный инфильтрат до 3-5 см в поперечнике. У отдельных пациентов вместо папул возникают пузыри или пустулы. Примерно в половине случаев в последующем формируется эрозивный или язвенный дефект, заживающий с образованием рубца.

Региональный лимфаденит — основной симптом заболевания. При классической болезни кошачьих царапин регионарная лимфаденопатия возникает через 1-3 недели после появления первичного очага и продолжается до нескольких месяцев. У 85% пациентов поражается одна группа лимфоузлов: чаще всего подмышечные и эпитрохлеарные (46%), в области головы и шеи (26%), а также в паховой области (17,5%). В большинстве случаев воспаляются одиночные лимфоузлы, реже множественные, они могут располагаться как в границах одной анатомической области, так и в нескольких (генерализованная лимфаденопатия — редкое явление).
Поражённый лимфатический узел плотный, подвижный, при пальпации умеренно болезненный, в диаметре может достигать 1-5 см. Кожа над ним гиперемированна. В 10-50% случаев происходит спаивание лимфоузлов с окружающими тканями, их нагноение с образованием густого жёлто-зелёного гноя и последующим вскрытием с образованием язвенного дефекта.

Окулогландулярный синдром Парино — одновременное образование одностороннего гранулематозного конъюнктивита (возникновение гранулём в виде жёлто-белых узелков от 1 до 5 мм) и увеличенного лимфатического узла перед ушной раковиной на той же стороне лица. Встречается в 2-8% случаев и связан с попаданием на конъюнктиву глаза слюны заражённых животных или фекалий блох. Конъюнктивит в течение нескольких недель регрессирует без рубцевания.


Лихорадка — повышение температуры тела до 38-39°С с ознобом, миалгией и артралгией (болью в мышцах и суставов). Возникает у 25-30% пациентов с образовавшимся лимфаденитом.
Генерализованная сыпь — скарлатино-, кореподобная или уртикарная сыпь на туловище, реже на конечностях. Наблюдается на фоне общих проявлений. В редких случаях возникает пятнисто-папулёзная сыпь или элементы по типу узловатой эритемы. Высыпания держатся от 2-5 дней до 2-5 недель.

10 признаков злокачественного лимфоузла на УЗИ
- Большие размеры, более 10 мм;
- Округлая форма, соотношение длинного и короткого размера (Д/К) <2;
- Эхогенность диффузно или локально понижена вплоть до анэхогенной;
- Концентрическое или эксцентрическое расширение коркового слоя;
- Гиперэхогенный центральный рубчик истончен или отсутствует;
- Неоднородная эхоструктура за счет гиперэхогенных кальцинатов и/или анэхогенных зон некроза;
- Неровный и размытый контур, когда клетки опухоли прорастают капсулу;
- Часто образуют крупные конгломераты;
- Кровоток дефективный — сосуды смещены, хаотично организованы, диаметр не уменьшается по направлению к капсуле, выраженный подкапсульный кровоток, аваскулярные зоны и др;
- Высокий индекс резистентности (RI >0,8) и пульсации (PI >1,5).
«Бог в мелочах»
Рисунок. На УЗИ лимфоаденопатия с эхо-признаками злокачественного процесса: увеличенный (28х16 мм) лимфоузел, округлой формы (Д/К <2), гипоэхогенный без центрального рубчика; определяется подкапсульный кровоток, диаметр сосудов не уменьшается по направлению к капсуле, RI 0,88.

Рисунок. Мужчина 63-х лет обнаружил «опухоль» на шее: растет медленно без боли и лихорадки. На УЗИ в районе кивательной мышцы определяется группа резко гипоэхогенных лимфоузлов без центрального рубчика, размер 10-20 мм; часть лимфоузлов округлые; встречаются лимфоузлы с резко усиленным кровотоком. Заключение по результатам биопсии: Лимфома.
Рисунок. Женщина 32-х лет с «опухолью» на шее. На УЗИ в левой надключичной области определяются один большой и несколько маленьких гипоэхогенных лимфоузлов, округлой формы, центральный гиперэхогенный рубчик тонкий; кровоток заметно усилен, сосуды расположены хаотично, диаметр не уменьшается по направлению к капсуле, выраженный подкапсульный кровоток. В левой подвздошной ямке видно «сэндвич» — конгломерат из увеличенных гипоэхогенных лимфоузлов, между которыми залегают сосуды брыжейки. Заключение: Лимфоаденопатия с эхо-признаками злокачественного процесса. Рекомендована биопсия измененных лимфоузлов.

Рисунок. Мужчина 50-ти лет с жалобами на осиплость голоса, «опухоль» на шее слева. На УЗИ на шее определяется круглое образование с большой анэхогенной полостью в центре — зона некроза. На КТ видно большую опухоль в надгортанной области слева. Заключение по результатам биопсии: Увеличенный лимфоузел с метастазами плоскоклеточного рака. Для плоскоклеточного рака типичен центральный некроз лимфоузлов.

Рисунок. На УЗИ лимфоузел с метастазами папиллярного рака щитовидной железы: эхоструктура неоднородная — мелкие анэхогенные полости и микрокальцинаты; центральный рубчик не определяется; видно подкапсульный кровоток.

Рисунок. На УЗИ группа увеличенных округлых лимфоузлов на шее: гипоэхогенные, неоднородные за счет мелких и крупных анэхогенных, аваскулярных зон — очаги некроза. Заключение по результатам биопсии: Лимфоузлы с метастазами аденокарциномы. Первичную опухоль найти не удалось.

Рисунок. На УЗИ метастазы аденокарциномы легких разрушили нормальную архитектуру лимфоузла: неоднородный за счет чередования гипер- и гипоэхогенных участков, центральный рубчик отсутствует, форма лимфоузла неопределенная, контур нечеткий, что указывает на инфильтративный рост в окружающие ткани.

Рисунок. На УЗИ лимфома (1,2) между углом нижней челюсти и подчелюстной слюнной железой, также лимфоузел (3) с метастазами.

Лимфогранулематоз или лимфома Ходжкина — это злокачественная гиперплазия лимфоидной ткани. Опухоль развивается из одного очага, чаще в шейных, надключичных, средостенных лимфоузлах. На УЗИ видно пачку увеличенных лимфоузлов, четко отграниченных, не прорастающих капсулу и не сливающихся между собой.
Рисунок. Массивные лимфоузлы шеи при биопсии оказались лимфомой Ходжкина.

Задача. У ребенка на шее множественные умеренно округлые л/у до 1*0.8 см, в центре одного лимфоузла округлый анэхогенный очаг до 0.3 см, чуть выше л/у пятнистые (нечёткие разряженые участки). Часто смотрю лимфоузлы, такие вижу впервые. Помогите сориентироваться, что это может быть? Ответ: Интересное фото — картина ненормальная. Похоже на локальную инфильтрацию клеточными элементами — как варианты, лимфоциты кругом инфекционного агента (например, туберкулез и др.), метастазы и т.д. Рекомендовано: УЗИ всех групп л/у с акцентом на надключичные, что встречаются только в патологических случаях — например, лимфома Ходжкина; оценить пробу Манту; рентген или КТ грудной клетки по показаниям. При неспособности решить задачу наблюдение 1 раз в месяц.
Берегите себя, Ваш Диагностер!
Описание и признаки
Лимфаденит у кошек — заболевание, которое влечет за собой воспаление и увеличение лимфоузлов. Лимфатический узел выступает в роли защитной функции таким образом, что этот «фильтр» не дает возможности распространиться по организму животного чужеродным элементам. Вся лимфа до того момента, как проникнуть в кровь, проходит свой путь через лимфоузлы, в которых находятся иммунные клетки для формирования устойчивого иммунитета. Расположение воспаления в лимфатических узлах говорит о развитии заболевания. В первую очередь происходит поражение тех лимфоузлов, которые расположены ближе к очагу воспаления.
Увеличение лимфатических узлов сопровождается отечностью, болезненностью, покраснением. Лимфаденит у кота может проявляться по-разному, в зависимости от зоны образования опухоли. Так, подчелюстное воспаление характеризуется затруднением процесса поглощения еды, может возникнуть нарушение дыхания. Даже увеличение одного лимфоузла в паху либо в подмышечной зоне приводит к хромоте животного. У кошек с таким заболеванием отслеживается регулярно повышенный температурный режим, возникает чувство усталости, апатии, вялости, пропадает аппетит. Поверхностные опухшие лимфатические узлы заметны при обычном поглаживании рукой.
Диагностика
Перед тем, как вести животное в ветеринарную клинику, рекомендовано самостоятельно осмотреть кошку
Необходимо уделить внимание таким областям, представленным в таблице:
| Части тела | Расположение и особенности новообразований |
|---|---|
| Челюстной отдел | Образования часто возникают под скругленной частью челюсти |
| Локтевой сустав | По своей структуре напоминают «шишки» (выпуклости) |
| Появляются на передних конечностях | |
| Коленная чашечка | Находятся на задних лапах под коленом |
| Подмышечные впадины | Узлы выдвигаются в сторону головы, их легко найти на ощупь подмышками передних лап |
| Паховый отдел | Образовываются в паху, в районе внутренней части тазобедренного сустава |
Поставить точный диагноз поможет врач, предварительно сделав забор крови и урины на исследование.
Диагностировать воспаление лимфоузлов можно самостоятельно, путем тщательного прощупывания всех областей туловища домашнего питомца. Если этого недостаточно, надо обратиться за помощью к специалисту и сдать кошке анализы: кровь, мочу, биопсию. Только после таких процедур может быть поставлен точный диагноз и назначено эффективное лечение либо хирургическое удаление опухолей.
Прогноз
- Увеличение лимфатических узлов у молодых людей (например, детей) часто является доброкачественным и связано с инфекцией. Есть несколько исключений из нормы, особенно если анамнез и физические показатели пациента подозревают персистирующую инфекцию, рак или аутоиммунные расстройства.
- Другие факторы риска, которые могут быть плохими прогностическими показателями, включают пожилой возраст, продолжительность лимфаденопатии (> 4 недель), широко распространенную лимфаденопатию, мужской пол, отсутствие уменьшения размера узла и системные признаки, такие как лихорадка, ночная потливость, потеря веса и гепатоспленомегалия.





























