Гингивит – это воспаление десен
Гингивит различают по локализации, а также по характеру течения. Есть несколько причин возникновения этого заболевания – первая – это недостаточная гигиена полости рта, а вторая – гормональные изменения в организме, например, у подростков. Гингивит в переходном возрасте быстро проходит, но все-таки следует наблюдать его у врача-терапевта. Если не контролировать ситуацию, то гингивит может перейти в пародонтит.
Какие факторы могут повлиять на возникновение гингивита
Гингивит бывает нескольких видов — катаральный, язвенно-некротический, гипертрофический, атрофический, гормональный. Причины возникновения каждого из них, соответственно, тоже разные.
Бывают стоматологические факторы, влияющие на возникновение гингивита. Это неправильно изготовленная пломба; возможно, перелом пломбы; неадекватно изготовленная ортопедическая конструкция. Химическое воздействие или химический ожог, который приводит к воспалению поверхностных слоев слизистой, увеличивается проницаемость сосудистой стенки, возникает отечность.
Кратко рассмотрим перечисленные виды гингивита и ответим на вопрос —
Как вылечить гингивит на начальной стадии?
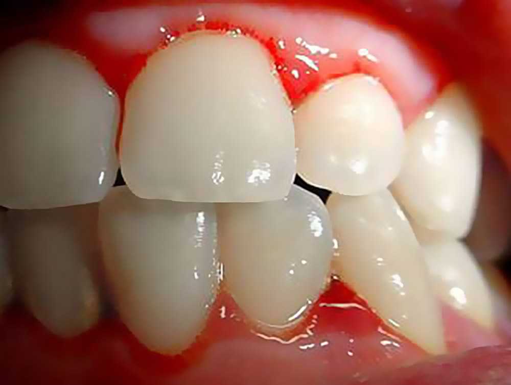
Начальная стадия гингивита называется катаральной
Проще всего вылечить гингивит именно на это стадии – выявив причину воспаления десны и убрав эту причину.

Само слово гингивит – уже говорит нам о характере этого заболевания – «гингива» — это десна, а окончание «ит» означает любой воспалительный процесс, который может проходить в организме.
Катаральный гингивит чаще всего характеризуется локальным месторасположением, занимающим небольшую площадь. Причины его также достаточно очевидны и легко устранимы. Обычно это либо химический либо термальный ожог.
Химический ожог может возникнуть из-за установленного протеза, если он сделан неправильно — не «доварен» до конца, и осталось небольшое количество остаточного мономера, который вызывает жжение слизистой и может привести к воспалению. При исправлении протеза, причина воспаления убирается и гингивит вылечивается.
Язвенно-некротический гингивит
Как проявляется язвенно-некротический гингивит

Язвенно-некротический гингивит — язвенный гингивит — характеризуется наличием открытых язв и омертвением тканей десны.
Такой гингивит лечить сложнее. Существует два способа – это ферментативно, либо хирургически.
Ферментативно – с использованием специальных ферментов, которые человек набирает и удерживает во рту, потом ополаскивает его. За счет этих манипуляций убирается налет и начинается заживление язв.
Хирургический способ – это операция, во время которой убираются, отрезаются все омертвевшие и поврежденные ткани. После операции необходим реабилитационный период для восстановлении и заживления.
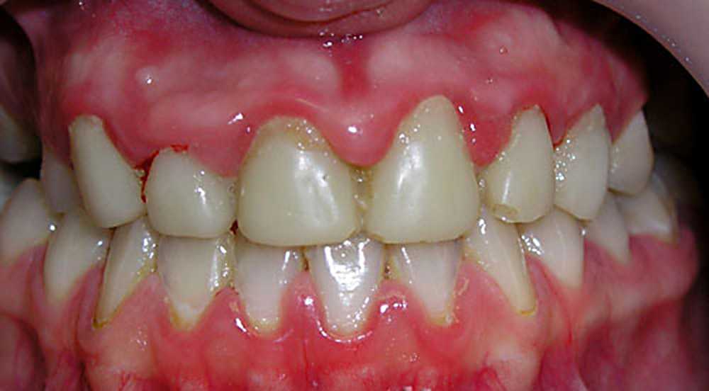
Гипертрофический гингивит
Может ли гингивит стать причиной потери зубов? — Да, может

Гипертрофический гингивит – это разрастание десны, когда вырастают, появляются лишние ткани. Гипертрофический гингивит это следующая стадия после язвенно-некротического, в случае если его не лечить.
При отсутствии должного лечения гипертрофический гингивит переходит в атрофический – это уменьшение, убыль слизистой оболочки десны.
А атрофический гингивит – это прямая дорога к пародонтиту и полной потере зубов

Вот почему важно вылечить гингивит на ранней стадии. Своевременная диагностика позволяет избежать развития болезни и более долгого, сложного и дорогого лечения в дальнейшем.. Здоровье иммунной системы также влияет на состояние слизистых полости рта
Ослабленный иммунитет, особенно в подростковом возрасте может спровоцировать развитие гингивита, поскольку гормональный фон тоже резко меняется.
Здоровье иммунной системы также влияет на состояние слизистых полости рта. Ослабленный иммунитет, особенно в подростковом возрасте может спровоцировать развитие гингивита, поскольку гормональный фон тоже резко меняется.
Происходит перестройка работы организма. Организм взрослеет и приобретает какие-то дополнительные защитные функции
И если в этот момент есть какие-то проблемы с зубами или недостаточно внимание уделяется гигиене, то развивается гингивит.
Если не помогать ребенку в этот период, то это также может привести к развитию других различных патологий и более серьезным заболеваниям зубов.
Кратко о строении зубов и десен (пародонта)
Структуры пародонта:КостьПериодонтДеснаЦемент зубного корня
Схема строения зуба и пародонта.Строение зуба:ДентинЗубная эмаль ПульпаВ анатомии зуба выделяют:
- Корень зуба – часть, которая располагается в альвеоле кости.
- Шейка зуба – часть, прикрытая десной. Между шейкой зуба и десной образуются десневые щели, при расширении которых при различных патологиях образуются десневые карманы.
- Коронка, покрытая эмалью – видимая поверхность зуба.
Строение десен:Прикрепленная часть десныКраевая часть десны (неприкрепленная или свободная)десневые щелидесневые сосочки,
Схема строения десны.кровоточивость десенОсновная функция десенбактерийздоровье
При гингивитепародонтит
Лечение и профилактика гингивита
Лечение гингивита, во-первых, зависит от формы заболевания и имеет определенные различия. Как правило, пациенту предлагается пройти один и тот же комплекс медицинских процедур с учетом индивидуальных особенностей организма, наличия осложнений и течения заболевания.
Медицинские процедуры при лечении различных форм гингивита и наличия осложнения направлены на устранение воспалительного процесса в деснах и устранения причин воспалительного процесса.
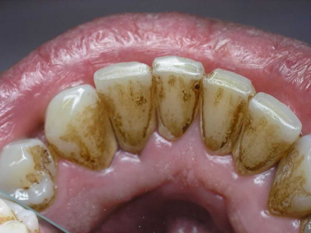
Проведение профессиональной гигиены полости рта при гингивите – это первоочередное обязательное условие для быстрого и успешного лечения, а также реабилитации в дальнейшем. Стоматолог тщательно удаляет зубной налет, налет на деснах и твердый зубной камень, также обязательно проводится удаление поддесневых и зубных отложений аппаратом Air Flow или ультразвуком.
Обязательная санация (лечение кариеса) полости рта при гингивите: все кариозные полости в зубах пациента обязательно устраняются; удаляются зубы, корни; при наличии у пациента ортопедических устройств, например, зубных протезов, при необходимости должны быть скорректированы под текущее состояние ротовой полости, при этом риск распространения болезнетворных бактерий сводится к минимуму, особенно в период реабилитации гингивита.
Назначаемые медицинские препараты при лечении гингивита: при терапии гингивита разных форм стоматологами могут назначаться противовоспалительные препараты, антибиотики, антисептики в виде растворов для полоскания рта и аппликаций, средств для ускорения эпителизации слизистой оболочки десен и средств для быстрого заживления язв и подавления воспалений (масла, витамин Е, «Солкосерил-гель»), витаминные комплексы, антиоксиданты, лекарственные средства для улучшения обмена веществ.
Хирургические методы лечения гингивита
При гипертрофической форме гингивита для его лечения стоматологом-хирургом может производиться иссечение разросшихся тканей, гингивэктомия, операции по пластике десен. При атрофическом гингивите – гингивопластика (замещение атрофированной ткани десен).
Профессиональная гигиена полости рта при гингивите
После процедур профессиональной гигиены полости рта пациент временно должен обязательно сменить зубную щетку, на время реабилитации нужно приобрести новую зубную щетку с мягкой щетиной, затем можно применять щетку средней жесткости, ее начинают использовать после завершения курса терапии.
Методы лечения
Тяжёлая форма гингивита лечится комплексно. Если патологию удалось диагностировать на начальной стадии, то чистки зубов будет вполне достаточно. Специалисты предупреждают: зубные пасты, предназначенные для человека, использовать нельзя.
Концентрация некоторых компонентов в составе чистящих средств очень высока и негативно отражается на здоровье пушистика. Кроме того, аромат ментола, который присутствует в большинстве составов, не нравится кошкам.
Для очищения зубного налёта применяется специальная щетка, купить которую можно в любой ветеринарной аптеке. Если такой возможности нет, подойдёт обычная зубная щётка, предназначенная для детей 3-5 лет. Щетина у таких щёток очень мягкая и безопасная.
Для обработки полости рта используются Мирамистин, Хлоргексидин и другие специальные дезинфицирующие растворы. После обработки десны смазываются гелями «Зубастик» или «Дентаведин».
На поздних стадиях показан приём медикаментозных препаратов и санация в условиях ветеринарной клиники. Очищение полости осуществляется с помощью ультразвукового скалера.
При борьбе с гингивитом эффективен препарат Интерферон. Он приостанавливает развитие патологии, препятствуя её переходу в тяжёлые стадии. Кроме этого, средство оказывает мощное иммуностимулирующее действие.
Препарат хорошо усваивается животными, относится к категории безвредных, не вызывающих побочных эффектов, в том числе и аллергии. Несмотря на это, назначать его и устанавливать дозировку и срок лечения может только ветеринар.
Для лечения запущенных форм гингивита используются антибиотики (Линкомицин, Клиндамицин, Стоморджил, Конвения), иммуносупрессоры (Преднизолон, Азатиоприн, кортикостероиды).
Удаление зубов показано только в самых тяжёлых случаях, так как беззубый кот становится инвалидом. Но если ветеринар принимает такое решение, значит, другого способа устранить причину заболевания и непосредственный источник патогенной микрофлоры нет.
Лечение симптомов острого гингивита
Общие правила для лечения гингивита включают в себя удаление зубного налета, зубного камня, соблюдение правил гигиены полости рта, устранение других способствующих факторов. Лицам, склонным к воспалительным заболеваниям, рекомендуется проводить чистку пародонта от налета инструментально у стоматолога (до 2-4 раз в год), употреблять лекарственные препараты, которые способствуют местной защите слизистой оболочки полости рта.
Местно используется антибактериальные препараты и антисептики (гель Метрогил Дента 2 раза в день, полоскание 0,05% хлоргексидином и др).
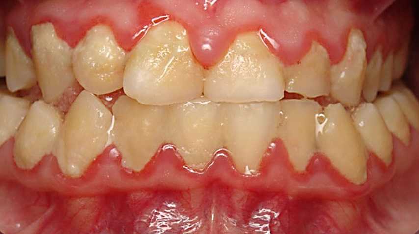
Хронический катаральный гингивит
Хронический катаральным гингивитом называется экссудативное воспаление десен. Развивается у некоторых групп пациентов, как ответ на патогенное воздействие микроорганизмов на деснах зубных отложений. Следует отметить, что хронический катаральный гингивит, как правило, развивается из-за недостаточной гигиены полости рта и без быстрого адекватного лечение становится хроническим генерализованным пародонтитом.
Симптомы и методы диагностики хронического катарального гингивита
Поставить диагноз по клинической картине обычно не вызывает трудностей. Как правило, пациенты с хроническим катаральным гингивитом жалуются на небольшой зуд в деснах, кровоточивость. Хронический катаральный гингивит начинается постепенно, длительно протекает практически без симптомов.
В жизни состояние здоровья больных с хроническим катаральным гингивитом стабильно – не происходит серьезных нарушений. При осмотре полости рта определяются минерализованные отложения на зубах, хронические воспаления десен (отек, кровотечение, покраснение). Зубы с хроническим катаральным гингивитом неподвижны, не смещаются. Рентгенологическое исследование изменений в костной ткани между зубами перегородок и других частей костей челюсти не определены.
Лечение хронического катарального гингивита начинается с использования орального раствора антисептиков. Для орального применения используется следующая группа лекарственных средств — перекись водорода — 1%, хлоргексидин — 0,06%, фурацилин — 0,02%. Антисептики при хроническом катаральном гингивите применяются в виде оральных ванн, полосканий, аппликаций на дёсны.
Затем идет следующая фаза лечения — удаление отложений зуба. Для этого используют специальные инструменты, которые тщательно удаляют зубной камень и зубной налет. Затем полируют поверхность зуба особыми щетками с абразивной пастой. После профессиональной чистки зубов снова проводят антисептическую обработку рта.
Острый некротический язвенный гингивит или некротический язвенный гингивит
Является суб-классификацией некротического пародонтита, инфекции ткани десен. Это проявляется в виде острой инфекции на десну без участия других тканей пародонта. Если инфекция прогрессировала глубже в ткани пародонта, то его называют некротический язвенный пародонтит
Острый некротический язвенный гингивит
Некротический пародонтоз вызван бактериальной инфекцией, которая включает анаэробы, такие как интермедиа и Fusobacterium, а также спирохеты, такие как Borrelia и Treponema
Гипертрофический гингивит
Это гипертрофия десны — увеличение размера десну, общая черта десневого заболевания. Гингивальное расширение может быть вызвано целым рядом факторов, в том числе воспалительными состояний и побочными эффекты некоторых лекарственных препаратов. Лечение основано на причине. Близкий термин эпулис, обозначающий локализованную опухоль на десне.
Причинами возникновения являются чаще всего являются эндокринные нарушения, токсикоз у беременных, гормональные сдвиги или нарушения. Нарушенный прикус или местные травмирующие факторы также могут оказывает негативное воздействие. Лечение гипетрофического гингивита зависит от его формы – отечная или фиброзная.
Отечная форма гингивита
Деснывые сосочки являются увеличенными за счет их отека (рыхлые). Беременные женщины и подростки чаще всего подвержены этой форме гингивита из-за гормональных сдвигов. Рекомендована противоспалительная терапия и удаление зубных отложений. Если эффекта будет недостаточно, то применяют склезирующую терапию. (ввод в отечные сосочки скрерозирующего раствора).
Фиброзная форма гингивита
Характеризуется разрастанием фиброзной ткани, десневые сосочки являются плотными. Лечение проводят с устранения травмирующих факторов и удаления зубных отложений.
Главный метод при лечении заключается в хирургическом иссечение ткани десны – после необходимо назначить противоспалительные препараты.
Причины появления гингивита у кошек и собак
Распространенная причина развития гингивита десен у любых собак и кошек – плохая гигиена полости рта
Хозяева недооценивают важность качественной чистки зубов, предотвращения скопления налета на поверхности костной и слизистой ткани. Остатки пищи остаются на зубах и деснах, твердеют, образуется зубной камень.
Причиной воспаления десен могут быть и другие факторы:
- заболевания аутоиммунного характера;
- кариес или смена молочных зубов;
- повреждение десен острыми костями;
- серьезные гормональные сбои;
- кишечные и иные инфекции;
- недостаток витаминов.
Виды и формы гингивита у кошек и собак
Ветеринары выделяют два вида гингивита десен у любых собак и кошек:
- серозный (катаральный);
- гипертрофический.
В первом случае причиной заболевания становится пищевой налет, механические травмы десен и кариес, во втором – сопутствующие заболевания, которые приводят к отечности и травмированию тканей в области резцов.
Гингивит у кошек и собак может быть локализованным и генерализованным, соответственно, бактерии покрывают область зубов и десен частично или полностью. И в первом, и во втором случаях животным требуется ветеринарная помощь.
Симптомы и клиническая картина гингивита у кошек и собак
На ранних стадиях визуально определить гингивит у кошек и собак сложно. При этом можно наблюдать:
- небольшие покраснения;
- припухлость десен;
- животное испытывает дискомфорт при приеме пищи.
Постепенно воспалительный процесс становится интенсивнее, и появляются более выраженные симптомы:
- распухают десны;
- появляется отек;
- кровоточить;
- болезненные ощущения;
- в ротовой полости появляются язвы;
- обильно выделяется слюна;
- пространство между зубов синеет;
- отказ от еды;
- потеря веса;
- при запущенной форме десны становятся рыхлыми, зубы расшатываются.
Диагностика и способы лечения гингивита у кошек и собак
Обследование животного в ветклинике позволяет выявить болезнь на ранней стадии.
Применяют следующие методы диагностики:
- визуальный осмотр полости рта;
- проба Шиллера-Писарева (при нанесении раствора на основе йода ткань становится коричневой);
- рентген (панорамный снимок пасти).
При выявлении гингивита у кошек и собак необходимо:
- перевести животное на мягкий корм;
- протирать десны слабым раствором соды;
- спринцевать полость рта отваром ромашки или календулы.
Для лечения заболевания также назначают:
- курс антибиотиков;
- витамины С, Р, РР, группы В;
- противоотечные и заживляющие кератопластические препараты;
- массаж десен;
- электрофорез.
При запущенных формах гингивита у кошек и собак практикуется хирургическое вмешательство (удаление гноя из десен). Иногда требуется удаление зуба.
Для решения проблем с заболеванием полости рта животных вы можете обратиться в любую из наших ветклиник в Москве и Московской области, которые работают в круглосуточном режиме. Записаться можно по телефону указанному на сайте. Вы также можете вызвать специалиста на дом.
Симптомы
Основные симптомы
- Кровоточивость десен;
- болезненность в области десен, которая усиливается во время еды, особенно при приеме раздражающей пищи, например, горячей или холодной, сладкой, острой или соленой;
- зуд, отек и покраснение десен на ограниченном участке или по всей слизистой одной или обеих челюстей;
- неприятный запах изо рта;
- наличие язв, гнойников, пузырьков;
- увеличение или уменьшение десен в объеме;
- повышение температуры тела и другие симптомы интоксикации – слабость, плохой аппетит, вплоть до отказа от еды, плохое самочувствие и прочее.
симптомы
Симптомы гингивита в зависимости от вида
| Вид гингивита | Жалобы пациента | Изменения при осмотре десен, фото |
| Острый катаральный гингивит |
|
Десна кровоточит при надавливании на нее, отечная, ярко-красного цвета, рыхлая, а межзубные сосочки увеличены в размерах. Возможно выявление единичных мелких язвочек. На зубах в большинстве случаев имеется зубной налет и зубной камень.![]() |
| Хронический катаральный гингивит |
|
Десна кровоточит, имеет синюшный оттенок, отмечается ее утолщение, десна напоминают валик над или под зубом (за счет отека). Выявляются отложения зубного камня, зубы не шатаются. ![]() |
| Язвенно-некротический гингивит |
|
При осмотре на деснах определяются единичные или множественные язвы с сероватой окантовкой. Для язвенного гингивита характерно распространение процесса по всем деснам и даже за ее пределы. При прощупывании этих язвочек появляется кровотечение, из них может выделяться гной. Вокруг десна синюшная, отечная, рыхлая, увеличена в размерах. На зубах отмечается огромное количество мягкого и твердого зубного налета. ![]() |
| Гипертрофический гингивит, отечная форма |
|
Разрастание тканей десны, увеличение межзубных сосочков, десна ярко-красного цвета, синюшная, имеет нездоровый блеск. При осмотре отмечается кровотечение из увеличенных в объеме десен. Между зубами и деснами можно увидеть углубления, напоминающие патологические зубодесневые карманы, в них часто выявляются остатки пищи.![]() |
| Гипертрофический гингивит, фиброзная форма |
|
Десна массивные, их цвет обычно нормальный бледно-розовый. Они имеют плотную, бугристую структуру. Кровоточивости десен нет, даже при надавливании на них.![]() |
| Атрофический гингивит |
|
На начальных стадиях сосочки десны между зубами сохраняются, а край десны уменьшен в размерах. Позже сосочки не определяются, между зубами щели, а край десны уплотняется, образуя валик вокруг зуба. На более запущенных стадиях оголяется корень зуба. Слизистая десен бледная, кровоточивости и отека нет. |
Лечение стоматита и гингивита
Чем лечить стоматит и гингивит, решают такие врачи, как пародонтолог, стоматолог-терапевт.
При остром течении болезни, прежде всего, требуется избавиться от причин, спровоцировавших ее. На этом этапе врач лечит зубы и зубочелюстную систему. Также необходимо лечение хронических заболеваний эндокринной системы, желудочно-кишечного тракта, общее укрепление иммунитета.

Для качественного результата в процессе работы требуется удаление камня и налета с зубов, особое внимание уделяется внутреннему камню, находящемуся между десной и зубом. После этого, с помощью лекарственных средств проводится лечение десен, чтобы избавиться от воспаления
Медикаменты снимают воспаление, обезболивают участок в ротовой полости, стимулируют восстановление и оказывают антибактериальное свойство. Лечение производится местно, врач накладывает аппликации, организует ротовые ванночки, производит орошение и т.д.
Важная задача медикаментозного воздействия – снизить или исключить полностью распространение воспаления по всей слизистой полости рта и не дать болезни перейти в хроническую стадию.
Для этого сначала нужно выяснить форму заболевания (язвенный, герпетический гингивит/стоматит и другие) и ее этап. После можно назначить комплексное лечение, как общее, так и местное.
При болезнях ротовой полости применяют аппликации коллагеновых пленок, на которые предварительно наносят лекарственные препараты (например, анестетики, кортикостероидные или «димедрол»). Тонкий слой крепится на участок разрушенной ткани и оказывает противовоспалительный или противоаллергический эффект, через некоторое время пленка рассасывается.
Чтобы рана быстрее затянулась, применяют дентальную адгезивную пасту с солкосерилом, раствор витамина А (масляный) и масло шиповника.

В качестве лечения врачи дают базовые рекомендации, такие как соблюдение диеты (нельзя есть острое, соленое, слишком твердое и пряное, пить алкоголь). Назначают прием антигистаминных, антибактериальных, противовирусных, если нужно, противогрибковых препаратов, иногда советуют включить глюкокортикостероиды – стероидные гормоны, синтезируемые корой надпочечников.
Уже с первичного осмотра, при выявлении симптомов, и до полного заживления можно назначать физиотерапию: лазерную биостимуляцию крови, уф-излучение, гелий-неоновый лазер.
Стоматит, гингивит успешно лечатся лазером, в случае если источник заболевания слизистой – грибки, бактерии и вирусы. Лазерный луч не повреждает здоровые области, так как точечно направляется на воспаленный участок.
Благодаря такому лечению уничтожаются клетки микробов, снижается боль, спадает отек, улучшается микроциркуляция крови, а значит, наступает скорейшее выздоровление. Процесс не доставляет боли пациенту и полностью безопасен.
Причины возникновения гингивита

уход за полостью рта
Внешние причины развития гингивита
Инфекции и нарушениегигиеныполости рта ветряная оспакорькраснухаскарлатина
Зубной каменькальциястоматологКариесПоход к стоматологутравмапротезированиеОтторжение зубного импланта.Физические раздражители:Химические раздражители.ожогамКурениекурение
Фото: зубы курильщика.Дыхание через рот ихрапПривычкипитания
Внутренние причины развития гингивита
| Причина гингивита | Форма гингивита, которая может развиться | Как развивается гингивит? |
| Прорезывание зубов | Острый катаральный гингивит | Растущий зуб всегда травмирует десну изнутри. Чаще всего страдают детки как при росте молочных зубов, так и при смене их на постоянные. Взрослые встречаются с этой проблемой при росте так называемых «зубов мудрости» или 3-х моляров (восьмерок). |
| Неправильный прикус и другие аномалии развития челюсти | Хронический катаральный гингивит, реже язвенная и гипертрофическая форма. |
Неправильно расположенные зубы во время жевания периодически или постоянно травмируют десна и другие слизистые оболочки ротовой полости. |
Нарушения иммунитета:
|
Хронические гингивиты, генерализованные формы. | Сниженный общий или местный (в ротовой полости) иммунитет не может бороться с различными бактериями, вирусами и грибами, как результат – любое физическое или механическое раздражение десны приводит к развитию гингивита. |
| Недостаток витаминов – авитаминоз и гиповитаминоз | Катаральный и язвенный гингивит, может протекать остро и хронически. | Наиболее классическим проявлением гингивита является цинга – нехватка витамина С, которая встречается в холодных странах и в пустынях. Недостаток витамина С приводит к нарушению образования коллагена – строительного материала соединительной ткани, которая присутствует абсолютно во всех органах и тканях. Также к гингивиту предрасполагает дефицит витаминов А, Е, группы В. |
| Нарушение пищеварения и глистные инвазии | Хронические гингивиты |
При нарушении работы пищеварительной системы возникают различные состояния:
Все эти факторы влияют на саму десну и на местный иммунитет, снижают способность слизистых бороться с различными инфекциями. |
Гормональные нарушения:
|
Любые формы хронического гингивита, часто развиваются генерализованные формы.Гормональные нарушения наиболее часто являются причиной развития гипертрофического гингивита. | Гормональные проблемы приводят к нарушению обмена веществ. Страдает обмен коллагена – как результат более быстрый переход хронического гингивита в гипертрофическую форму. Кроме этого, из-за нарушения белкового обмена страдает иммунитет и сопротивляемость многим инфекциям. |
Прием некоторых лекарственных препаратов – гормоныгормональные контрацептивыстероиды
Интоксикация организма наркотиковотравлениятуберкулезапеченипочек
Диагностика гингивитов, отличия от других патологий полости рта
На этапе диагностики крайне важно отделить гингивит от таких заболеваний зубов и ротовой полости, таких как пародонтит и пародонтоз, так как терапия пародонтита проходит по иной схеме. При различных формах гингивита как правило воспаляются в основном десны
В тоже время пародонтит и пародонтоз подвергают воспалительным и разрушительным процессам костную ткань и ткани пародонта, которые отвечают за фиксацию и удержание зубов в лунках
При различных формах гингивита как правило воспаляются в основном десны. В тоже время пародонтит и пародонтоз подвергают воспалительным и разрушительным процессам костную ткань и ткани пародонта, которые отвечают за фиксацию и удержание зубов в лунках.
При запущенных нелеченных формах пародонтитов и пародонтозов возникают расшатывание и смещения зубов с дальнейшей их потерей, пораженные зубы выпадают, а на их месте остаются очаги поражения тканей.
При хроническом развитии пародонтоза вследствие запущенного гингивита процесс воспаления десен может уже и не наблюдаться. При запущенных стадиях пародонтита и пародонтоза стоматологам часто приходится прибегать к удалению зуба или нескольких зубов, так как эти зубы являются источником источником распространения опасной инфекции по всему организму и способствовать утяжелению основного заболевания.
В сильно запущенных случаях воспаления перед врачами-стоматологами уже не стоит задача восстановления пораженных зубов и участков слизистой; главной целью в случае запущенных форм воспаления является восстановление нормального состояния ротовой полости пациента в целом и, в дальнейшем, после окончания лечения запущенных гингивитов и их осложнений, планирование протезирования потерянных зубов.
Только в случае своевременного начала лечения гингивита при условии, что серьезных осложнений удалось избежать, пациент и врачи могут рассчитывать на сохранение зубов в целостности и полном порядке. После проведения лечения и полного восстановления пациент должен периодически обращаться в стоматологическую клинику для проведения профилактических осмотров в кресле стоматолога. Профилактические осмотры позволяют сократить время на лечение зубов (при своевременном обнаружении каки-либо патологий) и значительно снизить стоимость стоматологической помощи.
Меры профилактики
Практически любое заболевание можно предотвратить, и гингивит не является исключением. Соблюдая простейшие меры профилактики можно оградить домашнего питомца от воспалительных процессов дёсен.
Регулярно осматривайте рот котика на предмет выявления ранок, царапин, язвочек, дурного запаха, кариеса. К слову, кариес, способный вызвать гингивит, успешно лечится методом прижигания кариозных пятен фтористым натрием и азотнокислым серебром.
При появлении первых признаков гингивита и других стоматологических заболеваний незамедлительно обращайтесь в ветеринарную клинику. Чем скорее начнётся лечение, тем больше шансов обойтись без последствий для здоровья.

Лучшей профилактикой гингивита является предупреждение появление зубного камня и налёта, через которые происходит заражение дёсен. Два раза в месяц очищайте зубы домашнему питомцу специальными пастами.
Параллельно с этим можно использовать специальные жевательные игрушки. Такие предметы не только укрепляют и очищают зубы, но и удовлетворяют потребность в жевании.
Если налёт образовался, самостоятельно вы с ним ничего сделать не сможете. Удаление зубного камня осуществляется в клинике, пытаясь избавиться от него самостоятельно, вы рискуете травмировать эмаль зубов питомца.
Зубной камень, как правило, появляется из-за неправильного питания: дешёвый сухой корм эконом-класса, преобладание жёсткой пищи, недостаток витаминов (особенно аскорбиновой кислоты). Составляйте кошачье меню с учётом этих особенностей.
Кормите кошку качественными кормами премиум, супер премиум классов от известных производителей. Питательные вещества и витамины в них находятся в оптимальном соотношении. Два раза в год домашнего питомца целесообразно переводить на специальный лечебный корм, содержащий в составе ингредиенты, эффективно очищающие зубы и полость рта.
Проконсультируйтесь с ветеринаром относительно витаминно-минеральных комплексов. Кошке требуются пищевые добавки, обогащённые витамином С и кальцием, но давать их, не посоветовавшись со специалистом, неправильно.
Авторы статей: коллектив клиники Беланта
Что делать в домашних условиях
Хозяин должен обеспечить своему питомцу максимально комфортные условия проживания и неукоснительно выполнять указания ветеринара. Нельзя заниматься самолечением, это может усугубить ситуацию и нанести здоровью кошки непоправимый вред.
Облегчить страдания пушистика можно с помощью содового раствора или отваров лекарственных трав, обладающих дезинфицирующим и противомикробным действием. Однако народные способы не могут заменять собой традиционное лечение и используются в качестве дополнительных мер.

Хорошо себя зарекомендовали отвар ромашки, душицы, листьев земляники. Нужно вскипятить 1 чайную ложку высушенного растения, залить стаканом кипятка, поставить варить на медленный огонь на 10 минут. Затем отвар процедить, охладить и использовать для протирания полости рта животного.
Во время гингивита кошка, как правило, отказывается от еды, так как даже маленький, с трудом прожёванный кусок причиняет ей боль. Однако, чтобы победить патологию, организму нужны силы. Кормить четвероногого любимца следует специальными мягкими кормами, предназначенными для ослабленных кошек, пюре из мяса и овощей, мясным или куриным бульоном.
Какие факторы способствуют развитию гингивита
Под гингивитом понимают развивающийся в дёснах воспалительный процесс, затрагивающий зону вокруг одного или нескольких зубов. Воспаление дёсен — это начало разрушительного синдрома в тканях, окружающих костную структуру.

Механизм действия гингивита следующий: в начале он поражает дёсны, затем — связки и кости, на которых крепятся зубы. По мнению ветеринаров, гингивит — есть не что иное, как начало тяжело протекающего и сложно поддающегося лечению недуга — пародонтоза.
Причины, которые провоцируют развитие гингивита, можно разделить на внутренние (эндогенные) и внешние (экзогенные). К внутренним факторам относятся:
- дефицит витаминов;
- аномальное расположение нижних и верхних зубов в момент смыкания челюстей (прикус);
- отвердевший зубной налёт;
- кариес.
Внешними причинами заболевания считаются:
- раны ротовой полости, полученными трубчатыми костями и прочими острыми предметами;
- облучение, полученной в результате проведённой лучевой терапии, рентгена и т. д.;
- инфекции;
- вирусы (калицивироз, герпес и т. д.);
- воздействие химических элементов.
Гингивит может возникнуть у любого домашнего питомца, независимо от породной принадлежности, в группе риска — животные от 5 лет и старше, несбалансированный рацион, патологии крови, аутоиммунные заболевания.
Безопасное лечение гингивита у беременных
Не случайно каждая женщина должна два раза за всю беременность посещать стоматолога, даже если никаких признаков нет. Только врач своевременно может выявить воспаление тканей и подобрать лечение. При выявлении гингивита лечение будет включать:
Профессиональную чистку зубов. Помогает снять воспаление и избавиться от неприятных ощущений. Выполняется с использованием ультразвукового скалера. Он максимально безопасен для женщины и для плода. После него применяется полировка с использованием пескоструйного аппарата. Рекомендуется провести процедуру с анестезией, так как при воспалении десны очень чувствительны.
Обработка пораженных десен. Сразу после процедуры наносится гель или мазь на поверхность десны. Можно использовать компрессы.
Назначение лекарственных препаратов
В первую очередь это анальгетики, полоскания растворами, орошение активными веществами.
Параллельно важно убрать причину воспаления. Для этого женщине назначают комплексные витамины и микроэлементы
Лечить воспаление придется длительное время, но если этого не сделать, они будут регулярно воспаляться.
































