Лечение
Для излечения грибовидного микоза на разных стадиях заболевания возможно применение различных методов. При небольших единичных поражениях возможно удаление пораженного узла с широким захватом здоровых тканей – не менее 3-х сантиметров с каждой стороны с последующим динамическим наблюдением. При множественных поражениях, или крупных единичных рекомендуется системная химиотерапия.
Возможны разные протоколы терапии грибовидного микоза и применение различных препаратов. В зависимости от интенсивности поражения и соматического состояния пациента используют различные протоколы. Мы наиболее часто используем протокол: лейкеран 2 – 4мг/м2 через день, преднизолон 20 – 40мг/м2 через день. Терапию продолжаем все время, пока поддерживается ремиссия, или не возникает выраженных побочных эффектов.
Протокол характеризуется хорошим лечебным эффектом, и практическим отсутствием гематологической токсичности, что позволяет проводить лечение пациентов амбулаторно. В результате применения данного протокола у животных происходит постепенная редукция опухолевых поражений, нормализуется масса тела, активность, повышается аппетит.
Большинство пациентов, получающие лечение по этому протоколу, имеют стойкие ремиссии.
Возможными осложнениями в результате терапии могут быть рвота, диарея, лейкопения (иногда необратимая), вызванные применением лейкерана, а также полиурия, вызванная применением преднизолона.
Методы диагностики лимфомы Беркитта
При подозрении на лимфому Беркитта нужно выполнить биопсию — удалить опухолевую ткань и направить в патоморфологическую лабораторию, где она будет изучена под микроскопом. Способ забора материала зависит от того, где находится новообразование: это может быть лимфатический узел, красный костный мозг, внутренние органы, жидкость в плевральной полости. После гистологического или цитологического исследования (исследование ткани и клеток под микроскопом) выполняют иммуногистохимический, цитогенетический анализ. Это помогает окончательно верифицировать диагноз.
После того как диагноз подтвержден, нужно уточнить, насколько сильно злокачественная опухоль распространилась в организме. Обычно в первую очередь выполняют компьютерную томографию брюшной полости, грудной клетки и таза. Затем проводят более информативное исследование ПЭТ/КТ. Во время него в организм пациента вводят специальный безопасный радиофармпрепарат, который накапливается в опухолевых очагах и делает их видимыми на снимках.
Выполняют биопсию красного костного мозга, исследование спинномозговой жидкости, которую получают во время люмбальной пункции. Также обследование включает анализ крови на уровень лактатдегидрогеназы (ЛДГ), мочевой кислоты, общий анализ крови, определение СОЭ, протромбинового времени, анализ на ВИЧ-инфекцию.
Какие бывают лимфомы?
Первично лимфомы принято делить на две большие группы:
- Лимфомы Ходжкина / лимфогранулематоз (болезнь Ходжкина, ходжинские лимфомы),
- Неходжскинские лимфомы (лимфосаркомы, НХЛ).
По данным НМИЦ онкологии им. Н.Н. Блохина, в России заболеваемость неходжкинскими лимфомами в 1,5-3 раза превышает заболеваемость лимфогранулематозом.
Разница между этими лимфомами становится ясна после морфологического исследования образца ткани (биопсии). При болезни Ходжкина в пораженных лимфоузлах обнаруживаются крупные мутировавшие клетки Березовского — Штернберга — Рида. Ходжкинские лимфомы отличаются более агрессивным течением с ярко выраженной симптоматикой, но они легко поддаются лечению.
Пораженные Ходжкинской болезнью лимфоузлы чаще всего расположены над ключицами, в области шеи, подмышечных впадин, средостения.
Неходжкинские лимфомы помимо B-лимфоцитов, поражают еще и T-лимфоциты. Заболевание обычно протекает без выраженной симптоматики и тяжело лечится. Но сначала необходимо правильно определить разновидность неходжкинской лимфомы — актуальная классификация состоит из 30 наименований, включая:
- хронический лимфолейкоз;
- Т-клеточный лейкоз;
- фолликулярная лимфома;
- диффузная В-крупноклеточная лимфома;
- грибовидный микоз Сезари и др.

Прогнозы и продолжительность жизни при лимфоме
Перспективы каждого человека индивидуальны – они зависят от множества различных факторов, таких как тип заболевания, его стадия, ответ на лечение, возраст и общее состояние здоровья.
Наличие некоторых из них говорит о менее благоприятных прогнозах:
- повышенная температура, ночная потливость и снижение веса;
- высокая СОЭ – скорость оседания эритроцитовЭритроциты – это клетки крови, которые доставляют кислород к тканям и органам. – от 50 у людей с вышеперечисленными симптомами, и более 30 у всех остальных;
- возраст старше 45 лет;
- мужской пол;
- высокий уровень лейкоцитовЛейкоциты – это клетки крови, основной задачей которых является борьба с инфекциями. – более 15 тысяч;
- уровень гемоглобинаГемоглобин – это белок клеток крови, переносящий по телу железо. Он удерживает кислород, необходимый для работы всех тканей. ниже 10,5;
- низкий уровень альбуминаАльбумин – это белок крови, который переносит различные химические соединения и участвует в обмене веществ. в крови – менее 4.
Для составления примерных прогнозов врачи используют специальный термин – «пятилетняя выживаемость». Это статистический показатель, который ничего не говорит о шансах конкретного человека. Он показывает только количество людей с определенным типом заболевания на конкретной стадии, остающихся в живых спустя 5 или более лет с момента постановки диагноза.
У пациентов с лимфомой Ходжкина эта цифра выглядит следующим образом:
- На локализованном этапе, пока онкология присутствует только в одной группе лимфатических узлов, в одном лимфоидным органе или ткани за пределами лимфатической системы – она составляет примерно 91%.
- На региональном, при повреждении расположенных рядом с лимфоузлами структур, двух или более групп лимфатических узло, находящихся по одну сторону от диафрагмы – около 94%.
- При распространении заболевания на другие части тела, такие как легкие, печень или костный мозг, либо на лимфоузлы ниже и выше диафрагмы – 81%.
Для пациентов с различными видами неходжкинских лимфом – диффузной В-крупноклеточнойДиффузная В-крупноклеточная лимфома – это целая группа опухолей лимфатической системы, которая развивается из В-клеток вилочковой железы, или тимуса. и фолликулярнойФолликулярная лимфома – самая распространенная из медленно растущих типов заболевания, она составляет 20-30% от всех впервые диагностированных неходжкинских лимфом. она составляет 73% и 96%, 73% и 90%, 57% и 85% соответственно.
Когда необходимо обратиться к врачу

Конечно, при возникновении усталости и некоторых других симптомов по отдельности не стоит сразу списывать это на появление онкологии. Необходимо сдать анализы для того, чтобы понять причину недомогания.
Перед сдачей анализов нужно подготовиться. Человек за сутки до всех процедур исключает алкоголь и табак. Желудок должен быть пустым. Время последнего приема пищи – не менее 12 ч. Запрещено пить чай, соки (натуральные и покупные), разжевывать жевательную резинку. Допускается только употребление воды.
Еще одно важное условие – перед процедурами нельзя волноваться. Иногда предотвратить абсолютно все факторы, провоцирующие стресс, сложно
Самой частой причиной беспокойства является ожидание плохого результата анализов.
Если человек принимает какие-либо препараты, об этом следует сообщить врачу.
Если диагноз все же подтвердился, то следующий, к кому направляется пациент – это врач-онколог. После осмотра назначается терапия, диета и прогнозы на выздоровление.
Профилактика лимфомы
Так как основные причины развития лимфомы не выявлены, профилактические меры, касаемо этого заболевания, обширны. Стоит своевременно проходить осмотры у основных специалистов. При инфекционных заболеваниях нужно тщательно выполнять рекомендации врачей. Если и замечены некоторые опасения касаемо своего состояния, поход к врачу не должен откладываться на бесконечное время. Не стоит забывать про личную гигиену, правильное питание и спортивные упражнения. Физическая активность и свежий воздух еще никому не приносили вреда.
Лимфома Ходжкина
Лимфома Ходжкина — одна из разновидностей лимфом, злокачественных заболеваний. Их особенность в том, что рост злокачественного образования начинается из лимфоидной ткани. Болезнь локализуется в лимфоузлах и довольно долго не захватывает костный мозг. По сути, к лимфомам Ходжкина относится целая группа заболеваний — на них приходится 40% от всех лимфом. Визуально или другими простыми способами отличить две группы между собой невозможно. Но ходжкинские заболевания определяются по анализу — в процессе обследования у больного находятся специфические клетки Березовского-Штернберга-Рида.
Причины
Разобраться в причинах появления этого грозного недуга является достаточно сложной задачей. Основной причиной считается вирус лейкоза у кошек. Его передача осуществляется через кровь и слюну, а также во время беременности – от матери плоду. Данным вирусом поражены практически все бродячие кошки, что делает их естественным резервуаром и опасным источником заражения.
Так же к причинам возникновения лимфомы относят:
- Длительное отравление тяжёлыми металлами.
- Наследственность.
- Генетическая предрасположенность – особенно часто страдает абиссинская порода кошек.
- Плохая экологическая обстановка и избыточное ионизирующее облучение.
Болезни подвержены кошки от 3 до 15 лет. До 7 лет злокачественное заболевание начинается по причине поражения вирусом, он проникает в кровь и под его действием происходят генетические изменения в клетках, которые накапливаются с течением времени. Из-за изменения ДНК клетки начинают неконтролируемо делиться, вызывая рост опухоли.
Виды лимфомы
Принятая классификация выделяет две группы лимфом – лимфому Ходжкина и неходжкинские лимфомы. Между ними существует немало отличий – разная реакция на лечение, особый механизм развития, разный тип клеток и т.д. Лимфома Ходжкина (лимфогранулематоз) развивается и действует в организме достаточно агрессивно, но легко поддается лечению. Неходжкинские лимфомы – группа более чем из 30-ти различных заболеваний, которые достаточно сложно вылечить. При этом их меньшая степень злокачественности и медленное развитие позволяют рассчитывать на продление жизни и сохранение здоровья пациента. В числе наиболее распространенных видов лимфом неходжкинского типа:
- волосатоклеточный лейкоз;
- Т-клеточный лейкоз;
- Т-лимфобластный лейкоз;
- плазмоклеточная плазмоцитома;
- фолликулярная лимфома;
- Диффузная крупноклеточная лимфома;
- анапластический крупноклеточный лейкоз и т.д.
В зависимости от сценария развития и характеру действия в организме лимфомы делят на:
- агрессивные – быстро развивающиеся и имеющие яркую онкологическую симптоматику;
- индолентные – развиваются достаточно медленно, часто не требуют лечения и подразумевают только наблюдение у онколога;
- экстранодальные – лимфомы, очаг которых развивается не в лимфоузлах, а во внутренних органах.
В зависимости от вида лимфом определяют характер терапии и дают прогноз относительно выживаемости пациента.
Лимфома легких на КТ
Признаки лимфомы легких особенно выражены на четвертой стадии заболевания, когда болезнь поражает дыхательный орган. На КТ при этом будут видны увеличенные лимфоузлы, формирующие цепочки, конгломераты. При этом у пациента может также наблюдаться отек легких. Однако высокая разрешающая способность КТ позволяет выявить лимфому на ранней, первой стадии.
На КТ лимфомы, как и любые уплотнения, визуализируются сравнительно более светлым цветом. В норме воздушная легочная паренхима практически однородного темного цвета. Иногда таких уплотнений несколько и они диссеминированны. Контуры лимфомы четкие и ровные. Вокруг патологических очагов обнаруживаются участки «матового стекла».
Диагностика лимфомы у кошек
При наличии онкологического процесса в организме вашего питомца, необходимо понимать, что эффективность лечения находится в прямой зависимости от стадии заболевания на момент проведения диагностики. Многие новообразования на начальных стадиях незаметны для владельцев кошек и могут не вызывать никаких клинических проявлений очень длительное время, поэтому рекомендуется приводить своего любимца на систематическое профилактическое обследование 1 раз в год, особенно если он находится в группе риска.
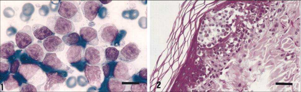
Для выявления наличия онкологического процесса у кошек проводится сбор анамнеза, полный клинический осмотр питомца, сдаются клинический и биохимический анализы крови, проводится обзорная рентгенография на наличие объемных опухолевых образований, при наличии показаний проводится ультразвуковое обследование (УЗИ) интересующей области. Все это дает общее представление о состоянии организма, наличии пораженных органов, но не дает возможности достоверно поставить диагноз лимфосаркома (рис. 2). Для подтверждения заболевания проводится цитологическое исследование образца клеток из измененной ткани и увеличенных лимфоузлов, это дает возможность в большинстве случаев подтвердить диагноз за короткий промежуток времени (3-5 дней). Для более точного определения типа опухоли сдается образец ткани или новообразование целиком на гистологическое исследование, по времени анализ занимает несколько недель.
Рис. 2. Результат цитологического анализа, характерного для лимфомы.
Также рекомендуется сдавать от кошек с подозрением на лимфому анализ крови на наличие вирусов FeLV и FIV, что влияет на дальнейший прогноз заболевания.
Вопросы и ответы
Каковы прогнозы при лимфоме?
Это зависит от степени агрессивности опухоли, а также от того, на какой стадии обнаружена проблема и от особенностей организма. Точные прогнозы, как правило, не могут дать даже врачи — но чем раньше найдена проблема, тем выше шансы прожить еще долгую и комфортную жизнь.
Есть ли профилактика лимфомы?
Как и в случае с другими злокачественными заболеваниями, специфической профилактики в данном случае нет. Все, что можно делать, — вести здоровый образ жизни, чтобы снизить риски разных неприятностей для организма.
Можно ли при лимфоме использовать лечение народными средствами?
Ни в коем случае. Подобные заболевания лечатся исключительно силами традиционной медицины — и только самыми современными способами. Делая ставку на альтернативные решения, пациент сильно рискует своей жизнью и значительно снижает ее продолжительность.
Лимфостаз
Лимфоток имеет для организма не меньшее значение, чем работа кровеносной системы. Поэтому любые нарушения в структуре лифматической системы немедленно дают о себе знать заметными внешними признаками. В их числе – лимфостаз, или лимфодема, связанная с нарушением оттока лимфы от внутренних органов или конечностей. Результат – заметная отечность с потемнением кожи в месте застоя лимфатической жидкости, справиться с которой можно только при обращении к квалифицированному специалисту. Сегодня от лимфостаза страдает около 10 млн. человек, преимущественно женщины, у которых застой лимфы в организме связан с физиологическими и гормональными причинами.
Симптомы лейкемии кошек
После заражение болезнь сразу не проявляется и владелец может даже не подозревать о том, что кошка носитель вируса. Продолжительность инкубационного периода зависит от силы вируса, устойчивости организма и влияния внешних факторов.
Первые симптомы могут проявиться через несколько месяцев или даже лет, после заражения. Провоцирует развитие болезни: стресс, другие заболевания, применение гормональных препаратов… и другие негативные факторы.
При лейкемии нет специфических симптомов, они могут быть разнообразными, похожими на проявления других заболеваний. А все потому, что вирус действует по-разному, может: подавлять иммунитет, привести к анемии или вызвать образование опухоли.
Произойдет нарушение иммунитета, в итоге присоединиться другая болезнь и мы увидим симптомы того, что разовьется при понижении иммунитета. К примеру, грибковая инфекция, гингивит…
Появится опухоль почки, мы увидим нарушения в выделительной системе, образуется опухоль в брюшной полости, будет понос или рвота, потеря веса… То есть, симптомы будут зависит от локализации новообразования, в какой системе происходит сбой из-за развития опухоли.
Нет смысла перечислять все возможные симптомы лейкемии, но что должно вызывать у вас подозрение? Когда вы долго лечите кошку с переменным успехом или совсем безуспешно.
К примеру, у кошки понос не понятно почему, вы подкорректировали кормление, применили антибиотики, ферменты… вроде бы стало лучше, перестали давать препараты и снова понос.
Или животное теряет массу, вы нормально кормите, регулярно обрабатываете от паразитов, но кошка худеет.
Или появился гингивит (воспаление десен) и лечение не дает эффекта.
В общем, если были контакты с уличными животными или ваша кошка раньше жила на улице и вы видите гингивит (как он выглядит смотрите видео в конце статьи, там пару фоток), потерю массы или другой симптом, а лечение не дает эффекта. Тогда нужно исключить хронические инфекции, в том числе вирусную лейкемию кошек. Для этого проводят исследования.
Лечение лимфомы Беркитта
Лечение важно начинать максимально оперативно, потому что лимфома Беркитта очень быстро растет. В Международной клинике Медика24 для этого есть всё необходимое
При своевременной и правильной терапии полностью излечиваются 80% детей и взрослых младше 60 лет.
Основной метод лечения лимфомы Беркитта — интенсивная химиотерапия. Она продолжается в течение нескольких месяцев, и пациент очень много времени проводит в клинике. Применяются разные комбинации химиопрепаратов:
- R-CODOX-M: ритуксимаб + циклофосфамид + винкристин + доксорубицин + метотрексат.
- R-IVAC: ритуксимаб + ифосфамид + этопозид + цитарабин.
- R-CHOP: ритуксимаб + циклофосфамид + доксорубицин + винкристин + преднизолон.
- DA-EPOCH-R: ритуксимаб + этопозид + преднизолон + винкристин + циклофосфамид + доксорубицин.
Некоторые виды лимфомы Беркитта с высокой вероятностью распространяются в центральную нервную систему. В таких случаях в целях профилактики применяют химиопрепарат метотрексат. Его вводят интратекально — в пространство, окружающее спинной мозг, или внутривенно в высоких дозировках.
На фоне химиотерапии может возникнуть синдром распада опухоли — опасное состояние, при котором вещества, выделяющиеся в результате разрушения опухолевых клеток, поступают в кровоток и приводят к отравлению организма. Это грозит тяжелым нарушением функции почек, судорогами, сердечной аритмией. В Международной клинике Медика24 применяются все необходимые препараты, чтобы предотвратить и быстро купировать это состояние.
Хирургическое лечение при лимфомах Беркитта применяется нечасто. Как правило, к операции прибегают, когда большая опухоль сдавливает органы, приводит к их непроходимости, мучительным болям.
Лучевую терапию также применяют для борьбы с симптомами, вызванными сдавлением органов, а также перед трансплантацией стволовых клеток.
Причины развития заболевания
Точно назвать причину лимфомы бывает затруднительно. Однако выделяют ряд факторов, которые могут спровоцировать развитие патологии. Обычно это:
- наследственная предрасположенность к генетическим заболеваниям;
- работа на вредном производстве при условии контакта с токсическими и канцерогенными веществами;
- иммунодефицитные состояния;
- аутоиммунные заболевания;
- последствия химио- или лучевой терапии, подавляющей иммунитет;
- регулярно повторяющиеся пневмонии;
- вирусные заболевания, в том числе – не получившие должного лечения;
- оперативные вмешательства, угнетающие иммунитет.
В группе риска находятся пациенты с артритом нескольких суставов и больные с дефицитом селена.
Причины лимфомы:
Как было выше отмечено, точных причин, способных вызвать лимфому, не выявлено. Однако врачи все же выделили ряд факторов, которые могут спровоцировать развитие данной злокачественной опухоли.
Выявлено, что чем страже человек, тем выше риск развития у него лимфомы. В большинстве случаев лимфома развивается у людей старше 55 лет. Однако встречались случаи обнаружения лимфомы и у более молодых людей, в том числе и у детей.
2. Вирусные инфекции.
Многие вирусные заболевания, к примеру, Эпштейн-Барр, могут вызвать инфекционный мононуклеоз, который в дальнейшем обнаруживается в клетках лимфомы. Специальные исследования показали, что люди, заболевшие этим инфекционным мононуклеозом, подвергаются большей вероятности заболеть лимфомой. Также и больные ВИЧ обладают повышенным риском развития этой опухоли.
3. Лекарства, оказывающие подавляющее действие на иммунитет.
Доказано, что подобные препараты, оказывающие непосильную нагрузку, приводящую к ослаблению иммунитета, а это химиотерапевтические лекарства, в разы повышают вероятность образования лимфомы.
4. Контакт с химическими препаратами.
Люди, чья деятельность основывается на длительном контакте с такими химическими препаратами, как пестициды, бензолы, гербициды, также входят в группу риска.
5. Аутоиммунные заболевания могут привести к лимфоме.
Критерий наследственности при данном заболевании не учитывается. Даже если у кого-то из ближайших родственников была выявлена лимфома, никакой опасности для его родственников не существует. Исключение составляют однояйцовые близнецы. Если у одного близнеца выявлена лимфома, вероятность развития болезни у второго ребенка повышается в 7 раз.
Грибовидный микоз или лимфосаркома кожи
Заболевание грибовидным микозом довольно распространено среди собак короткошерстных пород и второй половины жизни, пик заболеваемости приходится на 8 лет.
Симптомы
Грибовидный микоз имеет довольно характерную клиническую картину – заболевание начинается с единичного плоского опухолевидного образования в толще кожи, далее увеличивающегося в размерах, изъязвляющегося в центре. Как правило, на момент обращения животные имеют несколько опухолевых узлов, нередко, поражены лимфатические узлы, и пациент имеет длительный анамнез.
Болезнь протекает хронически, сопровождаясь прогрессирующей слабостью, отказом от корма, истощением. В дальнейшем поражаются лимфатические узлы, обычно региональные к наиболее крупному очагу поражений. Несмотря на характерные симптомы, постановка диагноза во многих случаях может представлять определенные трудности, нередко животные поступают нв клинику спустя длительное время после начала заболевания. Это, как правило, связанно не только с поздним обращением владельцев за помощью, но и с недостаточно развитой диагностической базой в ветеринарии.
По Кильской классификации он относится к Т – клеточным лимфомам низкой степени злокачественности. Морфологически — имеются характерные поражения. Заболевание характеризуется хроническим течением, отсутствием возможности выздоровления и удовлетворительным ответом на проводимую терапию.
Диагноз
Диагноз грибовидного микоза устанавливают морфологически.
Исследование пункционного биоптата периферической части опухолевого узла высоко информативно. Гематологический и биохимический анализы крови, как правило, близки к норме, изменения не специфичны.

Заболевание дифференцируют со вторичными поражениями кожи при лимфомах высокой степени злокачественности, кожными кистами, злокачественными новообразованиями кожи и метастазами в кожу опухолей другой локализации, воспалительными процессами.
Прогноз
Осторожный, в большинстве случаев. Заболевание течет, в известной степени, доброкачественно, и при лечении ремиссии могут быть очень длительными. Однако нам приходилось наблюдать случаи достаточно агрессивного течения, когда достаточно быстро (в течении нескольких недель) происходила генерализация процесса. Отдаленный прогноз неблагоприятный.
Лимфома легких — что это?
Лимфатическая система легких напоминает ветвистое дерево — ее сосуды пронизывают грудную клетку по всей длине и отвечают за лимфоток. Здесь расположено 13 разновидностей лимфотических узлов, классифицируемых по 5 группам:
1.Надключичные лимфатические узлы;
2.Верхние медиальные лимфатические узлы (паратрахеальные, преваскулярные, превертебральные);
3.Аортальные лимфатические узлы;
4.Нижние медиастинальные лимфатические узлы;
5.Корневые, долевые, (суб)сегментарные лимфатические узлы.
В узлах фильтруется лимфа и происходит созревание лимфоцитов. Лимфомы возникают в лимфатических узлах.
Пораженные лимфатические узлы зачастую не видны и не пальпируются. Патологические изменения — увеличенные лимфоузлы, уплотнение ткани — хорошо видны на мультисрезовом КТ-сканировании в высоком разрешении или на МРТ. Для определения специфики новообразования (нормальный или злокачественный процесс) лечащий врач может направить пациента на гистологическое исследование. В одних ситуациях увеличение узлов является относительной нормой (после перенесенных инфекционно-воспалительных заболеваний, травм, аллергических реакций), в других указывает на онкологический процесс. В последнем случае речь может идти о лимфоме.
Поскольку лимфатическая система представляет собой обширную сеть сосудов, капилляров и полостей, то злокачественные клетки могут распространиться по всему телу, образовав множественные диссеминированные метастазы.

Прогноз при 4 стадии лимфомы
При лимфоме Ходжкина 4 стадии прогноз довольно благоприятный. Использование современных лечебных схем, даже на 4 стадии заболевания, в большинстве случаев позволяет достичь ремиссии. Ее продолжительность зависит от многих факторов, в том числе от состояния пациента и распространенности опухолевого процесса до начала лечения.
Если говорить о неходжкинских лимфомах, стоит отметить, что для большинства пациентов с 4 стадией, радикального лечения не существует. Тем не менее, в части случаев вопрос ставится именно о полном излечении. Например, при лимфоме Беркитта 4 стадии прогноз пятилетней выживаемости для детей составляет 80–90%. Примерно такими же показателями характеризуется и при данном типе лимфомы 3 стадии прогноз.
Подобная гетерогенность связана с наличием как крайне высокоагрессивных форм, которые практически не отвечают на терапию, так и заболеваний, хорошо поддающихся лечению, которые в процессе лечения могут трансформироваться в более злокачественные.
Перспективы лечения лимфом 4 стадии связаны, прежде всего, с развитием молекулярно-биологического тестирования и появлением новых молекулярных мишеней для таргетных препаратов.
Запись на консультацию круглосуточно
+7 (495) 668-82-28
Симптомы
В связи с тем, что заболевание может поражать любую часть организма, лимфома на 4 стадии имеет крайне разнообразные клинические проявления. Наиболее часто отмечаются:
- Беспричинное повышение температуры тела.
- Необъяснимое снижение массы тела.
- Клиника острого живота.
- Тошнота и рвота.
- Желудочно-кишечное кровотечение.
- Кишечная непроходимость.
- Увеличение живота.
- Затруднение дыхания и глотания.
- Потеря голоса.
- Изнуряющий кашель.
- Увеличение сосудистого рисунка шеи и лица.
- Возможно поражение ЦНС с судорогами и потерей сознания.
- Появление выпота в брюшной или плевральной полости.
- Спленомегалия (увеличение селезенки).
Диагностирование
Конечно же, при лейкозе нередки многие из тех симптомов, которые мы описали в вышерасположенной таблице. Следует ли из этого, что каждый кот с вирусом FeLV в организме болеет еще и лимфомой? Конечно же, нет. Для диагностирования этой патологии существует несколько методов, которые обязательно должны использоваться в ветеринарной практике.

Диагноз ставится только на основании микроскопического и цитологического исследования образчиков пораженной ткани. В этом случае можно не только подтвердить или опровергнуть сам факт наличия рака, но и заблаговременно определить прогноз для животного. Требуется полный анализ крови, серологическое ее исследование, анализ мочи, рентгенограммы и/или УЗИ. Все это делается, дабы оценить общее состояние кошачьего организма и загодя выявить внутренние органы, пораженные лимфомой. Очень важна реакция ПЦР, так как именно этот метод позволят диагностировать конкретную разновидность рака. Наконец, в некоторых случаях показано исследование образцов, взятых из красного костного мозга.
Лечение
Задача врачевания состоит в уничтожении опухолевой ткани и перерождённых клеток, иначе говоря — химиотерапии. Главными медикаментами являются следующие:
- Хлорамбуцил.
- Доксорубицин.
- Винкристин.
- Циклофосфамид.
- L-Аспарагиназа. Предпочтительно применение препарата для кошки, страдавшей Лейкозом прежде, чем у неё сформировалась Лимфосаркома.
- Преднизолон.
- Радиотерапия. Используют, преимущественно, при назальной разновидности Лимфомы.
Все средства небезвредны для организма кошки, если возникают осложнения, ветеринарный врач заменяет препарат на более щадящий, хотя и менее эффективный. Во всех вариантах лечебные сеансы продолжаются несколько недель или более. Некоторые врачевательные схемы предусматривают перерыв между сеансами химиотерапии. Нужно понимать, что препараты, истребляющие опухолевые клетки, неблагоприятно влияют на воспроизводительные органы, паренхиму почек, печени, костного мозга.
После курса лечения врач назначает дни, в которые необходимо наблюдаться в клинике. Феллинологу следует быть готовым к пожизненному приёму питомцем общеукрепляющих препаратов.
Если у кошки диагностирован Лейкоз и развилась Лимфома, для её спасения необходимо провести жёсткую химиотерапию, а также пересадку костного мозга.






























